Akciğerler dış ortamla sürekli temas hâlinde olan, bu nedenle çevresel ve biyolojik etkenlerden kolay etkilenebilen organlardır. Solunan havanın niteliği, geçirilen enfeksiyonlar, sigara maruziyeti, mesleki riskler ve mevcut kronik hastalıklar zaman içinde akciğer dokusunda hasara zemin hazırlayabilir. Bu hasar her zaman ani gelişmez; bazen sinsi ilerler ve uzun süre belirgin şikâyet vermeyebilir.
Akciğer hasarı denildiğinde tek bir tablo anlaşılmamalıdır. Hava yollarında kronik tahriş, akciğer dokusunda iltihabi değişiklik, gaz alışverişini bozan yapısal etkilenme veya enfeksiyon sonrası uzayan hassasiyet bu başlık altında farklı biçimlerde karşımıza çıkabilir. Bu nedenle risk faktörlerini erken fark etmek büyük önem taşır.

Özellikle sigara ve tütün ürünleri, yoğun hava kirliliği, toz-kimyasal maruziyet ve tekrarlayan akciğer enfeksiyonları hasar gelişiminde öne çıkan nedenlerdir. Buna astım, KOAH gibi kronik hastalıklar eşlik ediyorsa akciğerlerin korunması daha da kritik hâle gelir.
Bu içerikte akciğer hasarının nasıl geliştiğini, en yaygın nedenleri, erken uyarı işaretlerini ve korunma yollarını sade ama detaylı bir çerçevede ele alıyoruz.
Akciğer Hasarı Hangi Mekanizmalarla Gelişir?
Akciğer hasarı genellikle tahriş, iltihap ve buna bağlı doku yanıtı üzerinden gelişir. Solunum yolları tekrar tekrar zararlı maddelere maruz kaldığında kendini korumaya çalışır; ancak bu süreç uzadığında normal yapı bozulabilir. Özellikle geçmeyen öksürük gibi belirtiler bu etkilenmenin görünür işaretlerinden biri olabilir.

Solunum Yollarında Tahriş Ve İltihaplanma
Duman, toz, enfeksiyon veya kimyasal maddeler hava yolu yüzeyini tahriş eder. Tahriş arttıkça vücut iltihabi yanıt geliştirir ve bu durum öksürük, balgam, hırıltı gibi belirtilere yol açabilir. Süre uzadığında yalnızca şikâyet değil doku yapısı da etkilenebilir.
Uzun Süreli Maruziyetin Dokular Üzerindeki Etkisi
Akciğer dokusu kısa süreli hasarı onarma kapasitesine sahiptir; ancak maruziyet kronikleşirse toparlanma yerine kalıcı değişiklikler gelişebilir. Bu da gaz alışverişinde azalma, hava yollarında daralma ve efor kapasitesinde düşüş olarak yansıyabilir.
Sigara Ve Tütün Ürünleri Akciğerlerde Nasıl Hasara Yol Açar?
Sigara, akciğer hasarının en iyi bilinen ve önlenebilir nedenlerinden biridir. Duman içindeki çok sayıda zararlı madde hava yollarını tahriş eder, savunma mekanizmalarını zayıflatır ve zamanla doku onarımını bozar. Etki yalnızca aktif içicilikle sınırlı değildir.

Aktif İçicilik
Doğrudan sigara içmek, hava yolu duvarında kronik inflamasyon ve mukus artışına yol açabilir. Zaman içinde nefes kapasitesi düşebilir ve enfeksiyonlara yatkınlık artabilir. Bu süreç çoğu zaman yıllar içinde ilerlediği için erken dönemde hafife alınabilir.
Pasif Maruziyet
Sigara içmeyen kişiler de kapalı ortamlarda duman soluduklarında etkilenebilir. Özellikle çocuklar, yaşlılar ve kronik akciğer hastalığı olan kişiler pasif maruziyete daha duyarlıdır. Süreklilik gösteren temas, sanılandan daha önemli sonuçlar doğurabilir.
Elektronik Sigara Ve Benzeri Ürünlerde Dikkat Edilmesi Gerekenler
Elektronik sigaraların daha masum olduğu düşüncesi yanıltıcı olabilir. İçerikler, ısıtma mekanizması ve solunan aerosoller hava yollarında tahrişe neden olabilir. Bu ürünlerin risksiz kabul edilmesi doğru değildir.
Hava Kirliliği Akciğer Sağlığını Neden Tehdit Eder?
Kirli hava yalnızca kısa süreli rahatsızlık yaratmaz; uzun vadede akciğer sağlığını da etkileyebilir. Özellikle ince partiküller solunum yollarının derin bölümlerine kadar ulaşabilir ve kronik tahrişi artırabilir.

Büyük Şehir Yaşamı Ve Partikül Maruziyeti
Trafik yoğunluğu, endüstriyel emisyonlar ve şehir içi çevresel faktörler günlük partikül maruziyetini artırır. Bu durum özellikle hassas bireylerde öksürük, boğaz irritasyonu ve nefes yakınmalarını tetikleyebilir.
Ev İçi Hava Kalitesinin Önemi
Akciğer sağlığı sadece dış ortamla ilişkili değildir. Sigara dumanı, temizlik kimyasalları, kötü havalandırma, küf ve ısınma kaynaklı dumanlar ev içinde de risk yaratabilir. Uzun süre kapalı ortamda kalan kişiler için bu konu ayrıca önemlidir.
Geçirilen Enfeksiyonlar Akciğerde Kalıcı Etki Bırakabilir Mi?
Bazı enfeksiyonlar tamamen iyileştikten sonra bile bir süre hassasiyet bırakabilir. Özellikle zatürre sonrası öksürük, eforla nefes darlığı veya göğüste doluluk hissi devam ediyorsa takip gerekebilir.

Zatürre Sonrası Hassasiyet
Akciğer dokusu enfeksiyon sırasında inflamasyona maruz kaldığı için iyileşme dönemi hemen tamamlanmayabilir. Kişi klinik olarak toparlansa da bir süre çabuk yorulabilir veya öksürük sürebilir. Bu geçiş dönemi ile kalıcı sorunları ayırmak önemlidir.
Uzayan Öksürük Ve Nefes Darlığı Neden Takip Edilmelidir?
Enfeksiyon sonrası birkaç haftalık toparlanma süreci olağan olabilir; ancak belirtiler uzadığında altta başka bir sorun olup olmadığına bakılmalıdır. Özellikle nefes darlığının artması veya günlük hayatı etkilemesi değerlendirme gerektirir.
Mesleki Maruziyetler Akciğer Hasarı Açısından Neden Önemlidir?
İş ortamında solunan toz, kimyasal buhar ve dumanlar yıllar içinde önemli akciğer yükü oluşturabilir. Maruziyet çoğu zaman yavaş ilerlediği için kişi şikâyetlerin işle ilişkisini geç fark edebilir.
Toz, Kimyasal Ve Duman Teması
Madencilik, inşaat, tekstil, metal işleme, temizlik sektörü ve bazı sanayi kollarında çalışanlar bu açıdan daha fazla risk taşıyabilir. Toz ve kimyasal buharın yoğun olduğu alanlarda koruyucu önlem alınmaması hasar ihtimalini artırır.
Koruyucu Ekipman Kullanımının Önemi
Maske, havalandırma sistemleri ve iş güvenliği ekipmanları sadece prosedür değil gerçek koruyucu araçlardır. Düzenli kullanım, uzun vadeli akciğer yükünü azaltmada belirgin fark yaratabilir.

Kronik Hastalıklar Akciğer Yapısını Nasıl Etkileyebilir?
Bazı kronik hastalıklar akciğerleri doğrudan veya dolaylı biçimde etkiler. Özellikle hava yolu hassasiyeti olan kişiler çevresel etkenlere daha belirgin yanıt verebilir.
Astım Ve KOAH Gibi Durumlarda Risk
Astım ve KOAH’ta hava yolları zaten hassastır. Enfeksiyon, sigara dumanı veya hava kirliliği gibi faktörler bu kişilerde daha kolay alevlenmeye ve yapısal etkilenmeye neden olabilir.
Kontrolsüz Hastalık Yönetiminin Sonuçları
Düzenli takibi yapılmayan, ilaç uyumu zayıf olan ya da tetikleyicilerden korunulmayan durumlarda şikâyetler sıklaşabilir. Bu da zamanla yaşam kalitesini ve akciğer fonksiyonlarını olumsuz etkileyebilir.
Akciğer Hasarı Olduğunda Hangi Belirtiler Ortaya Çıkabilir?
Belirtiler hasarın tipine ve yaygınlığına göre değişir; ancak bazı şikâyetler daha sık öne çıkar. Uzun süren öksürük, nefes kapasitesinde azalma ve balgam-hırıltı gibi bulgular bunların başında gelir.

Uzun Süren Öksürük
Bir türlü geçmeyen ya da tekrarlayan öksürük akciğerlerde devam eden irritasyonun habercisi olabilir. Süre uzadıkça altta yatan nedenleri araştırmak daha önemli hâle gelir.
Eforla Nefes Darlığı
Kişinin daha önce rahat yaptığı bir aktivitede nefesinin yetmemesi dikkate alınmalıdır. Bu durum bazen kondisyonla açıklansa da özellikle süreklilik gösteriyorsa akciğer sağlığı açısından önem taşır.
Hırıltı, Balgam Ve Göğüste Baskı Hissi
Hava yollarında daralma veya irritasyon geliştiğinde hırıltılı solunum, balgam artışı ve göğüste dolgunluk hissi görülebilir. Bu belirtiler özellikle sabahları veya efor sırasında belirginleşebilir.

Akciğer Hasarını Erken Fark Etmek Neden Önemlidir?
Erken dönemde fark edilen riskler ve belirtiler, ilerleyici sorunların önlenmesi açısından avantaj sağlar. Çünkü birçok akciğer problemi başlangıçta hafif belirtiler verir ve kişi bunu sıradan yorgunlukla karıştırabilir.
Geciken Değerlendirme Hangi Sorunlara Yol Açabilir?
Sorunun uzun süre gözden kaçması daha fazla fonksiyon kaybına, sık enfeksiyona veya yaşam kalitesinde kalıcı düşüşe neden olabilir. Gecikme aynı zamanda korunma fırsatlarının da kaçırılması anlamına gelir.
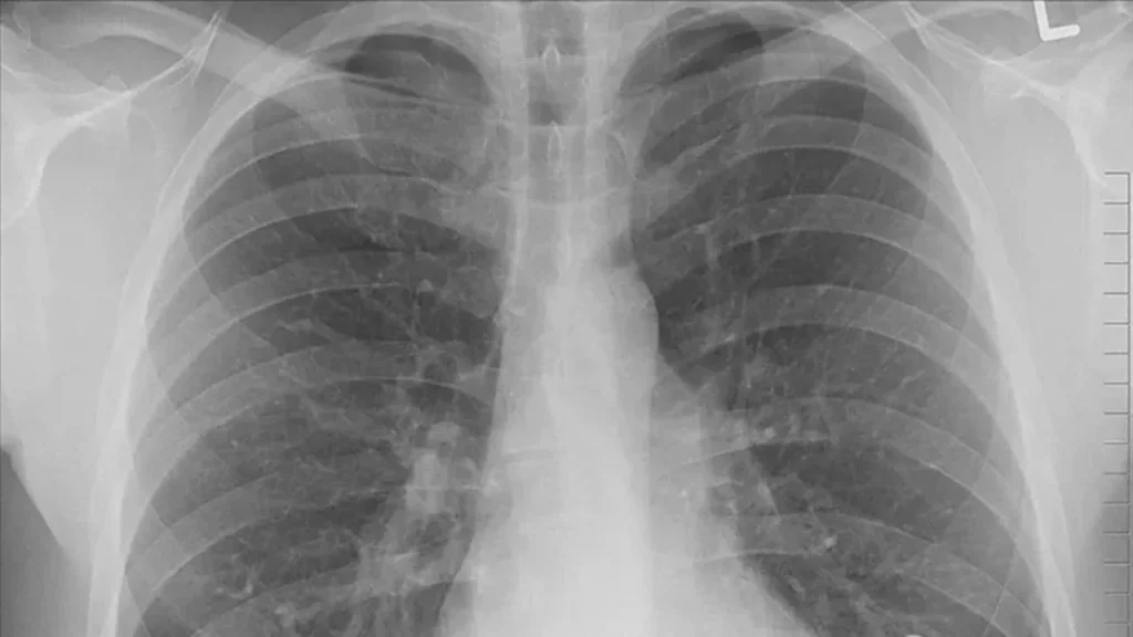
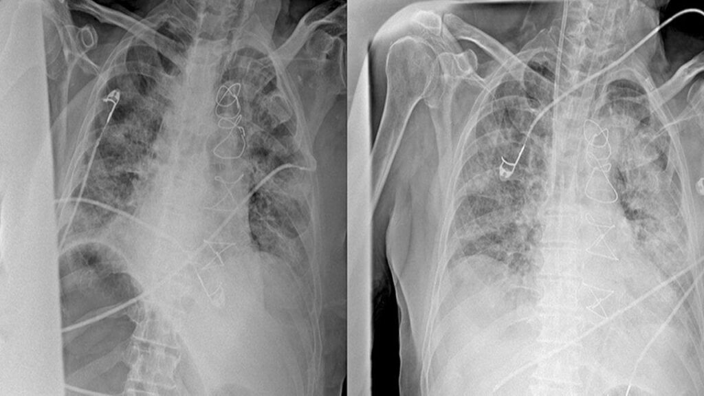
Hangi Testler Ve Muayene Yaklaşımı Öne Çıkar?
Uzman değerlendirmesinde şikâyet süresi, maruziyet öyküsü ve muayene bulguları önemlidir. Gerekli görüldüğünde akciğer filmi, solunum fonksiyon testi veya ileri görüntüleme gibi yöntemler kullanılabilir.
Akciğerleri Korumak İçin Hangi Önlemler Alınmalıdır?
Korunmada en temel yaklaşım zararlı maruziyeti azaltmak ve riskli belirtileri erken fark etmektir. Bunun yanında enfeksiyonlardan korunma ve düzenli takip de önemli yer tutar.
Sigaranın Bırakılması
Akciğerler için en güçlü koruyucu adımlardan biri sigarayı bırakmaktır. Bırakma sonrası bazı iyileşmeler kısa sürede başlarken, uzun vadeli kazanımlar da zamanla ortaya çıkar.
Enfeksiyonlardan Korunma
El hijyeni, kalabalık dönemlerde dikkatli olmak, gerekli aşıları hekim önerisine göre değerlendirmek ve hastalık döneminde istirahate önem vermek akciğerleri korumaya yardımcı olabilir.
Düzenli Takip Ve Risk Grubunda Tarama Yaklaşımı
Sigara öyküsü olanlar, mesleki maruziyeti bulunanlar ve kronik akciğer hastalığı taşıyan kişiler düzenli takipten daha fazla yarar görür. Risk grubunda olmak, belirtiler ortaya çıkmadan da dikkat gerektirir.
Ne Zaman Uzman Değerlendirmesi Gerekir?
Bazı belirtiler beklemek yerine uzman görüşü almayı gerektirir. Süre, şiddet ve eşlik eden bulgular bu kararda belirleyicidir.

Şikâyetler 3 Haftadan Uzun Sürüyorsa
Öksürük veya nefes yakınmaları üç haftayı aşıyorsa altta yatan nedenin araştırılması gerekir. Uzun süren belirtiler basit bir iyileşme dönemi olarak kabul edilmemelidir.
Kanlı Balgam, Kilo Kaybı Veya Sık Enfeksiyon Varsa
Bu bulgular daha dikkatli değerlendirme gerektirir. Özellikle tekrarlayan enfeksiyonlar ve istemsiz kilo kaybı eşlik ediyorsa gecikmeden başvurmak önemlidir.
Sık Sorulan Sorular
Akciğer hasarı ile ilgili en çok merak edilen kısa soruların yanıtları aşağıdadır.
Akciğer Hasarı Kendiliğinden Düzelir Mi?
Bu, hasarın nedenine ve derecesine bağlıdır. Geçici tahriş düzelebilir; ancak kronik maruziyet veya yapısal etkilenme varsa profesyonel takip gerekir.
Akciğere En Çok Zarar Veren Faktör Nedir?
Tek bir cevap vermek zor olsa da sigara en önemli ve önlenebilir faktörlerin başında gelir. Buna hava kirliliği ve mesleki maruziyet de eklenebilir.
Hava Kirliliği Uzun Vadede Akciğerleri Etkiler Mi?
Evet, etkileyebilir. Özellikle yoğun kirli hava maruziyeti kronik irritasyon ve solunum kapasitesinde azalma riskini artırabilir.



